Com a expertise da Dra. Jaicer Rolo, o Serviço de Imagem combina tecnologia de última geração e acolhimento humano, oferecendo mais segurança e qualidade para Matão e região.
Quando o assunto é precisão no diagnóstico, tecnologia de ponta e atendimento humanizado, o Serviço de Imagem do Hospital Carlos Fernando Malzoni (HCFM) tem um nome que se destaca: Dra. Jaicer Gonçalves Rolo.
Formada pela tradicional Faculdade de Medicina de Ribeirão Preto – USP em 2006, Dra. Jaicer construiu uma carreira sólida e dedicada. Após três anos de especialização em Radiologia e Diagnóstico por Imagem, ingressou no HCFM em 2011 e nunca parou de se aperfeiçoar. Fez subespecialização em Neurorradiologia, área que exige olhar minucioso e conhecimento profundo, e concluiu em 2015 um Doutorado em Investigação Clínica, reforçando seu compromisso em unir ciência e prática médica de altíssimo nível.
Sob sua liderança, o Serviço de Imagem do HCFM alcança marcas impressionantes: mais de 118 mil exames por ano (dados de 2024), oferecendo à população de Matão e região um atendimento que alia rapidez, qualidade e segurança.

Tomografia Computadorizada: 12 mil exames por ano em 64 canais. Alta resolução e menor radiação - Foto: HCFM
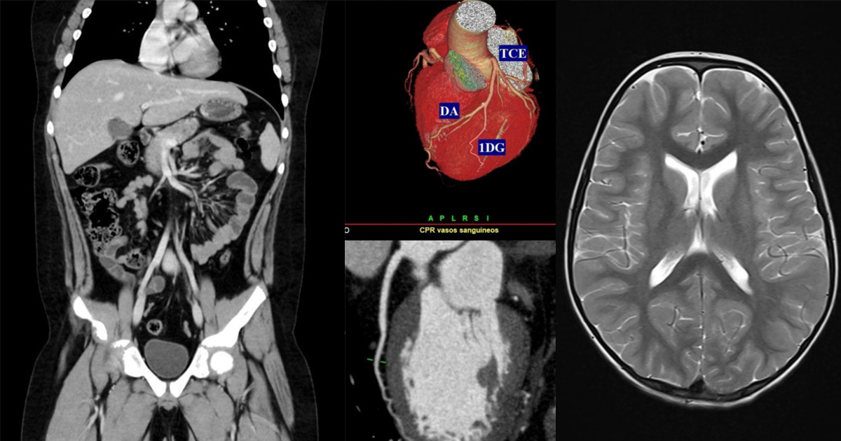
Entre os exames oferecidos, destacam-se:
Radiologia Digital: mais de 73 mil exames anuais, com imagens nítidas em segundos, ideal para avaliação de fraturas, pulmão, coluna e tumores.
Tomografia Computadorizada: mais de 12 mil exames anuais, com um tomógrafo atual de 64 canais, com algoritmos avançados de reconstrução que geram 128 imagens por rotação, o que garante altíssima definição, menor dose de radiação e oferece conforto e segurança ao paciente, com maior precisão diagnostica.
Ressonância Magnética: mais de 9 mil exames em 2024, sem radiação, para detecção precisa de aneurismas, lesões do sistema nervoso central, alterações abdominais e lesões articulares.
Ultrassonografia: mais de 31 mil exames anuais, método seguro, indolor e sem radiação nas diversas especialidades.
Mamografia: essencial para a prevenção do câncer de mama, com quase 4 mil exames em 2024.
Densitometria Óssea de Corpo Inteiro: avalia osteoporose e composição corporal, auxiliando em planos de prevenção, reabilitação e saúde integral.

Exames de Imagem HCFM – alta precisão - Foto: divulgação
A Dra. Jaicer une conhecimento técnico de ponta a uma visão humanizada, garantindo que cada paciente receba não apenas um diagnóstico preciso, mas também acolhimento e confiança. Graças a sua atuação e dedicação e com o imprescindível apoio da Diretoria do HCFM, o Serviço de Radiologia e Diagnóstico por Imagem do HCFM teve grande expansão nos últimos anos e se consolida como referência regional em diagnóstico por imagem, honrando a história de investimento e inovação iniciada nos anos 1980 pelo GEMA – Grupo de Empresários de Matão.
De acordo com Dra. Jaicer, “a aquisição recente do novo tomógrafo de alta resolução, o único da cidade e um dos únicos da região, possibilitou a incorporação ao Serviço de uma nova modalidade de exame, a angiotomografia computadorizada de coronárias, as artérias do coração, capaz de ajudar a prevenir eventos cardíacos súbitos e fatais”. Além disso, o Serviço também realiza atualmente Ressonância Magnética Cardíaca, possibilitando complementação diagnóstica em casos específicos.
A radiologista explicou que “a aquisição do aparelho de Densitometria de Corpo Inteiro possibilita não só análise da composição óssea, mas também do percentual de gordura, água e músculos, bem como sua distribuição pelo corpo, o que ajuda em processos de emagrecimento, treinamento físico e tratamento de doenças específicas”.
A superintendente do HCFM, Denise Minelli, reforça o impacto desse trabalho: “O serviço de imagem é fundamental para a qualidade do nosso atendimento. Sob a liderança da Dra. Jaicer, conseguimos oferecer exames com tecnologia de ponta e, ao mesmo tempo, manter a humanização que é a essência do HCFM. É a combinação perfeita entre ciência, tecnologia e cuidado com o paciente.”
O Hospital Carlos Fernando Malzoni une tecnologia de última geração, equipe especializada e a liderança da Dra. Jaicer Rolo: a combinação que faz toda a diferença na saúde de Matão e região.